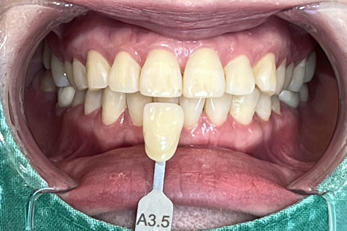
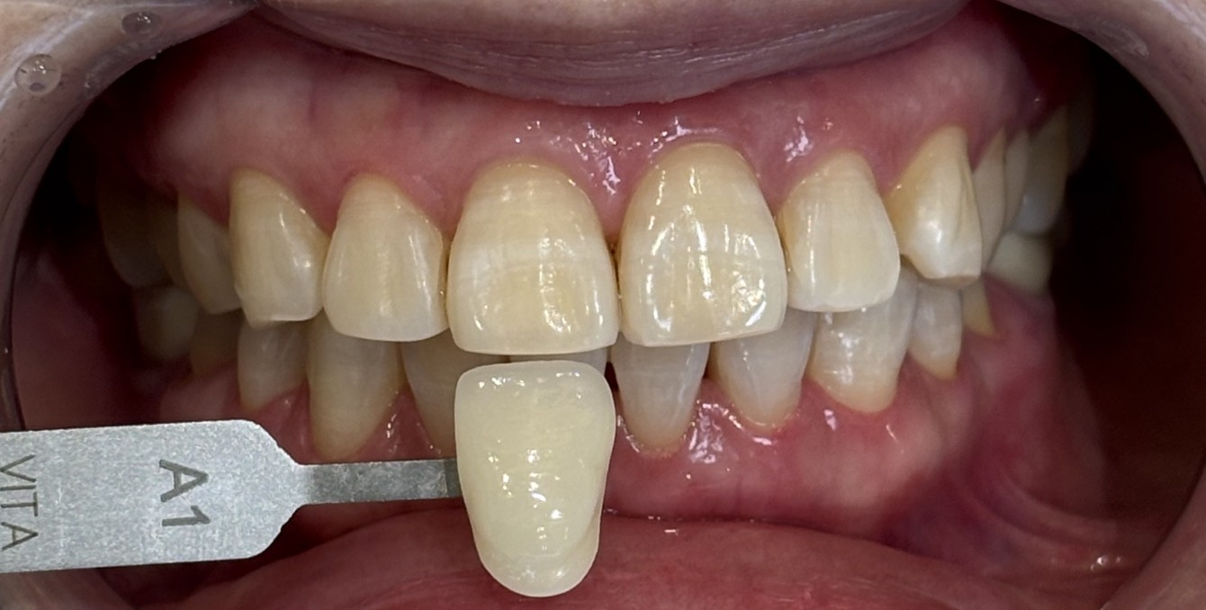
치아미백 | 치아미백케이스입니다
환자명 문** 치료기간 1주 한줄 설명 치아미백케이스입니다
  • .